افتخار ما ارائه اطلاعات علمی و یا امکانات خاص مرکز در قالب وبلاگ و پستهای مقالات می باشد.
مرکز رادیولوژی و سونوگرافی آوا با هدف ارائه خدمات دقیق، سریع و تخصصی، مجهز ب ...
مرکز رادیولوژی و سونوگرافی آوا: پیشرو در ارائه خدمات تخصصی با بروزترین دستگاهها
مرکز رادیولوژی و سونوگرافی آوا با هدف ارائه خدمات دقیق، سریع و تخصصی، مجهز به جدیدترین دستگاههای سونوگرافی و رادیوگرافی دندان است. این مرکز بهتازگی دستگاه پیشرفته سامسونگ V8 را به تجهیزات خود اضافه کرده است، که تحولی در کیفیت تصاویر و تشخیص دقیق بیماریها ایجاد کرده است.
مرکز آوا با بهرهگیری از تیم متخصص و فناوری روز دنیا، خدمات متنوعی را در زمینه سونوگرافی و رادیولوژی ارائه میدهد:
برای دریافت اطلاعات بیشتر و رزرو نوبت میتوانید با شمارههای مرکز تماس بگیرید یا از طریق اینستاگرام با ما در ارتباط باشید.
مرکز آوا با هدف ارائه بهترین خدمات تشخیصی و جلب رضایت شما عزیزان، همواره در تلاش است تا تجربهای متمایز و مطمئن را برای شما به ارمغان آورد.
مشاهده
مرکز رادیولوژی و سونوگرافی آوا تحت مدیریت دکتر زهرا کرمی و دکتر آرمان امامقل ...
مرکز رادیولوژی و سونوگرافی آوا - ارائه دهندهی خدمات تخصصی تصویربرداری در صحنه، کرمانشاه، کنگاور و بیستون
مرکز رادیولوژی و سونوگرافی آوا تحت مدیریت دکتر زهرا کرمی و دکتر آرمان امامقلی، با پیشرفتهترین تجهیزات سونوگرافی و رادیولوژی، آماده خدمترسانی به شما عزیزان است. این مرکز با بهروزترین تکنولوژیها و تخصصیترین خدمات سونوگرافی و رادیولوژی، آماده ارائه انواع خدمات برای بررسی و تشخیص مشکلات داخلی میباشد.
تشخیص دقیق مشکلات شکم و لگن از جمله عفونتها، سنگها و سایر مشکلات داخلی با استفاده از سونوگرافی شکم و لگن در مرکز سونوگرافی آوا.
بررسی وضعیت و سلامت ارگانهای مهم بدن شامل کبد، کلیه، پروستات، رحم و تخمدان با دستگاههای پیشرفته و تیم مجرب.
تشخیص دقیق مشکلات و بیماریهای مرتبط با دستگاه تناسلی زنان از طریق سونوگرافی واژینال توسط متخصصان مرکز آوا.
مرکز آوا ارائهدهندهی سونوگرافیهای بارداری ساده و پیشرفته برای بررسی وضعیت سلامت مادر و جنین میباشد.
غربالگری و آنومالی اسکن جنین برای بررسی و تشخیص بهموقع ناهنجاریها و مشکلات احتمالی در دوران بارداری.
تشخیص مشکلات و بیماریهای پستان و تیروئید با سونوگرافی تخصصی و دقیق.
بررسی وضعیت جریان خون و مشکلات عروقی با استفاده از سونوگرافی کالر داپلر رنگی در مرکز رادیولوژی آوا.
تجربه مشاهده تصاویر سهبعدی و چهاربعدی با وضوح بالا برای بررسی دقیقتر و تشخیص بهتر.
رادیوگرافی دندان OPG برای تشخیص مشکلات فک و دندانها با استفاده از دستگاههای مدرن و دقیق.
آدرس: صحنه، خیابان طالقانی، بنبست پزشکان، جنب مطب دکتر خنجری، مرکز سونوگرافی و رادیولوژی آوا
شماره تماس:
مرکز سونوگرافی آوا با ارائه خدمات تخصصی در کرمانشاه، صحنه، کنگاور و بیستون، در زمینهی تشخیص و تصویربرداری آماده است تا بهترین خدمات را به شما ارائه دهد.
مشاهده
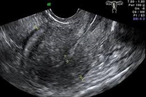
این سونوگرافیها از هفتههای ۴ تا ۶ بارداری، وضعیت جنین را از جنبههای مهمی ...
اهمیت سونوگرافی اوایل بارداری
این سونوگرافیها از هفتههای ۴ تا ۶ بارداری، وضعیت جنین را از جنبههای مهمی چون تأیید بارداری، تشخیص خارج رحمی، تعیین سن دقیق بارداری، مشاهده تعداد جنینها و تشخیص ضربان قلب بررسی میکنند. این اطلاعات به پزشکان برای برنامهریزی دقیق بارداری و پایش سلامت جنین کمک میکند.
۱. تأیید بارداری
این سونوگرافیها، در هفتههای ۴ و ۵، حضور بارداری و مکان آن را تأیید میکنند. تشخیص به موقع بارداری خارج رحمی نیز از اهمیت خاصی برخوردار است.
۲. تعیین سن بارداری و اندازهگیری CRL
محاسبه دقیق سن بارداری از طریق اندازهگیری طول کرونال-رومپ (CRL) در هفتههای ابتدایی صورت میگیرد. این اطلاعات به پزشکان کمک میکند تا مراقبتهای پیشگیرانه و زمانبندی دقیقتری برای بارداری ارائه دهند.
۳. بررسی تعداد جنینها
در این سونوگرافیها، میتوان به سرعت تعداد جنینها را مشخص کرد. در صورت بارداری چندقلویی، توجه بیشتری به مراقبتها نیاز است.
۴. ضربان قلب جنین
در هفته ۶، ضربان قلب جنین در سونوگرافی قابل تشخیص است. این اولین علامت زنده بودن جنین و نشانهای از سلامت اولیه او است.
مراحل تکامل ساک حاملگی، کیسه زرده (Yolk Sac) و قطب جنینی (Fetal Pole)
۱. ساک حاملگی
ساک حاملگی اولین ساختاری است که معمولاً در هفتههای ۴ و ۵ در رحم دیده میشود. حضور آن نشانهای اولیه از بارداری سالم است و فضایی را برای رشد جنین فراهم میکند.
۲. کیسه زرده (Yolk Sac)
در حدود هفتههای ۵ تا ۶، کیسه زرده درون ساک حاملگی دیده میشود. این کیسه نقش اصلی را در تغذیه اولیه جنین ایفا میکند تا زمانی که جفت بهطور کامل تشکیل شود. مشاهده کیسه زرده در سونوگرافی نشاندهندهی رشد طبیعی بارداری است.
۳. قطب جنینی (Fetal Pole)
در هفته ۶ یا کمی بعد، قطب جنینی در سونوگرافی مشاهده میشود. این بخش از جنین شامل سلولهایی است که به اندامها و سیستمهای بدن تبدیل میشوند. در این مرحله، ضربان قلب معمولاً قابل تشخیص است که نشان از سلامت جنین دارد و یکی از لحظات هیجانانگیز بارداری برای والدین محسوب میشود.
روشهای انجام سونوگرافی اوایل بارداری
سونوگرافی ترانسواژینال: این روش تصویری دقیقتر از رحم و جنین در هفتههای اولیه ارائه میدهد. برای این کار، پروب سونوگرافی درون واژن قرار میگیرد و به پزشک امکان میدهد که جزئیات بیشتری از رحم و جنین مشاهده کند.
سونوگرافی شکمی: این روش در صورت پر بودن مثانه میتواند مؤثر باشد و معمولاً برای افرادی که در هفتههای بالاتری از بارداری قرار دارند توصیه میشود
آمادگیهای لازم برای سونوگرافی
· مثانه پر: در سونوگرافی شکمی، پر بودن مثانه میتواند به وضوح تصویر کمک کند. بهتر است پیش از سونوگرافی مقداری آب مصرف شود.
· پوشیدن لباس راحت: لباس راحت و مناسب باعث میشود فرآیند سونوگرافی به راحتی انجام شود.
.مرکز سونوگرافی و رادیولوژی آوا
مرکز آوا در صحنه، با مدیریت دکتر زهرا کرمی و دکتر آرمان امامقلی و بهرهگیری از جدیدترین تجهیزات، آماده ارائه خدمات دقیق سونوگرافی اوایل بارداری و بررسی مراحل تکامل جنین است. با مراجعه به این مرکز، مادران باردار میتوانند از خدماتی مطمئن و تیمی متخصص بهرهمند شوند. در صورت نیاز، مرکز آوا برنامهریزی مراقبتی دقیقتری برای بارداری ارائه میدهد و در صورت مشاهده هرگونه ناهنجاری، اقدامات پیگیری مانند سونوگرافی مجدد یا آزمایشهای تکمیلی توصیه میشود.
نتایج سونوگرافی و پیگیریهای لازم
با انجام این سونوگرافی و بررسی نتایج اولیه، پزشک قادر خواهد بود برنامه مراقبتی دقیقتری برای بارداری تعیین کند. در صورت مشاهده هرگونه ناهنجاری، پیگیریهای بعدی مانند تکرار سونوگرافی یا آزمایشهای دیگر ممکن است توصیه شود
مشاهده
پولیپهای کیسه صفرا زائدههایی هستند که از دیواره داخلی کیسه صفرا بیرون میآ ...
اگر اخیراً متوجه وجود پولیپ کیسه صفرا در بدن خود شدهاید، شاید این سؤال برایتان پیش آمده باشد که آیا این پولیپ خطرناک است؟ در این مقاله، درباره پولیپهای کیسه صفرا، روشهای شناسایی از طریق سونوگرافی، علائم، خطرات و گزینههای درمانی صحبت میکنیم.
پولیپهای کیسه صفرا زائدههایی هستند که از دیواره داخلی کیسه صفرا بیرون میآیند. در بسیاری از موارد، این پولیپها خوشخیم و بیخطر هستند، به این معنا که سرطانی نیستند. حدود ۹۵٪ از پولیپهای کیسه صفرا غیرسرطانی هستند و معمولاً در حین سونوگرافیهای روتین شکم یا بررسیهایی که برای سایر دلایل انجام میشوند، کشف میشوند.
بیشتر پولیپهای کیسه صفرا بهندرت سرطانی میشوند، اما اندازه پولیپ میتواند در تعیین خوشخیم یا بدخیم بودن آن مؤثر باشد. بهطور کلی، سونوگرافی پولیپ یکی از راههای اولیه برای تشخیص اندازه و خطرات احتمالی پولیپها است:
پولیپهای کوچک (کمتر از ۱۰ میلیمتر): پولیپهایی که اندازهشان کمتر از ۱۰ میلیمتر باشد، به احتمال زیاد سرطانی نیستند و معمولاً نیازی به درمان ندارند. با این حال، توصیه میشود سونوگرافیهای دورهای برای بررسی تغییرات احتمالی انجام شود.
پولیپهای بزرگتر از ۱۰ میلیمتر: پولیپهایی با اندازه بیش از ۱۰ میلیمتر میتوانند خطر سرطانی شدن داشته باشند. برای این نوع پولیپها، سونوگرافی منظم پولیپ و در صورت نیاز کولهسیستکتومی (برداشتن کیسه صفرا) توصیه میشود تا از خطرات جلوگیری شود.
اگر پولیپهای کیسه صفرا دارید، ممکن است پزشک شما توصیه کند که بهطور منظم سونوگرافی پولیپ کیسه صفرا را انجام دهید، به ویژه اگر اندازه پولیپ شما به بیش از ۸ میلیمتر برسد. در صورتی که پولیپ به اندازه ۲ میلیمتر یا بیشتر رشد کند، ممکن است به اقدامات بیشتر نیاز داشته باشید. برای پولیپهای کوچکتر، سونوگرافی شکم بهعنوان روش استاندارد بررسی رشد پولیپها توصیه میشود.
برای پولیپهای بزرگتر یا پولیپهایی که با سنگ کیسه صفرا یا کلانژیت اسکلروزان اولیه همراه هستند، کولهسیستکتومی ممکن است توصیه شود. این روش به طور کامل خطرات احتمالی را از بین میبرد.
اگر پولیپ کیسه صفرا دارید، انجام سونوگرافی دورهای پولیپ میتواند برای شما آرامش خاطر به همراه داشته باشد. این معاینات به تشخیص تغییرات پولیپها کمک میکنند و کیفیت زندگی شما را بهبود میبخشند. بیشتر افراد با پولیپهای کیسه صفرا مشکلی را تجربه نمیکنند، اما آگاه ماندن و پیگیریهای منظم میتواند شما را از هرگونه خطر احتمالی دور نگه دارد.
اگر در شهرهای کرمانشاه، صحنه، کنگاور یا بیستون هستید و به خدمات سونوگرافی نیاز دارید، مرکز سونوگرافی و رادیولوژی آوا با مدیریت دکتر زهرا کرمی و دکتر آرمان امامقلی آماده ارائه بهترین خدمات برای شماست. این مرکز با بهرهگیری از تجهیزات مدرن و تیم متخصص خود، بهویژه تحت نظارت و تخصص دکتر زهرا کرمی و دکتر آرمان امامقلی، یکی از بهترین گزینهها برای تشخیص و پیگیری مسائل مختلف پزشکی است. برای اطلاعات بیشتر و رزرو وقت میتوانید با مرکز سونوگرافی و رادیولوژی آوا تماس بگیرید و از خدمات حرفهای این مجموعه بهرهمند شوید.
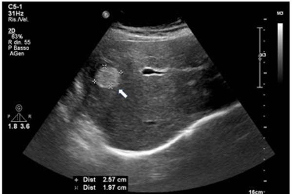
همانژیوم کبدی نوعی توده خوشخیم است که معمولاً علائم خاصی ندارد و بهطور اتف ...
همانژیوم کبدی در سونوگرافی: تشخیص، پیگیری و اهمیت آن
همانژیوم کبدی نوعی توده خوشخیم است که معمولاً علائم خاصی ندارد و بهطور اتفاقی در آزمایشهای چکاپ و سونوگرافی شناسایی میشود. این تودههای خوشخیم در زنان شایعتر هستند و اغلب در قسمت راست کبد و نزدیک کپسول کبدی دیده میشوند. اندازه همانژیومها معمولاً بین چند میلیمتر تا ۳-۴ سانتیمتر است و اغلب بدون خطر هستند.
تشخیص همانژیوم کبدی از طریق روشهای تصویربرداری متنوعی انجام میشود، از جمله:
همانژیومها در سونوگرافی به دو نوع اصلی تقسیم میشوند:
پیگیری همانژیوم کبدی با سونوگرافی بسیار مهم است و به پزشکان این امکان را میدهد که هرگونه تغییری در اندازه یا وضعیت توده را بهموقع شناسایی کنند. در بیشتر موارد، همانژیومها ثابت باقی میمانند، اما ممکن است در برخی موارد به مرور زمان رشد کنند.
ارزیابی اندازه و رشد توده: انجام سونوگرافیهای منظم به پزشکان کمک میکند تا در صورت تغییر اندازه توده، اقدامات مناسب را انجام دهند.
پیشگیری از علائم احتمالی: همانژیومهای کوچک علائمی ندارند، اما همانژیومهای بزرگتر میتوانند باعث درد شکمی یا احساس فشار شوند. پیگیری منظم با سونوگرافی از بروز علائم جلوگیری میکند.
آرامش خاطر برای بیمار: پیگیریهای دورهای، بیماران را از وضعیت توده مطمئن میسازد و باعث کاهش نگرانیهای آنها میشود.
اگر نیاز به سونوگرافی کبد و پیگیری وضعیت همانژیوم دارید، مرکز سونوگرافی و رادیولوژی آوا با مدیریت دکتر زهرا کرمی و دکتر آرمان امامقلی در کرمانشاه، صحنه، کنگاور و بیستون آماده ارائه بهترین خدمات تشخیصی است. با بهرهگیری از تجهیزات مدرن و تخصص پزشکان مجرب، این مرکز گزینهای مناسب برای ارزیابی و پیگیری وضعیت همانژیوم و سایر مشکلات کبدی شما خواهد بود.
مشاهده
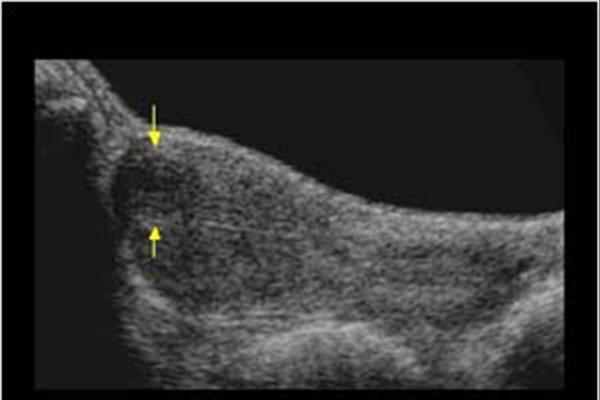
غربالگری و تشخیص زودهنگام بیماریهای پستان از اهمیت بسیاری برخوردار است و سو ...
سونوگرافی سینه و اهمیت غربالگری: راهنمایی جامع برای تشخیص و پیشگیری
غربالگری و تشخیص زودهنگام بیماریهای پستان از اهمیت بسیاری برخوردار است و سونوگرافی سینه یکی از ابزارهای اصلی برای ارزیابی دقیق بافت پستان به شمار میآید. در این مقاله، به اهمیت سونوگرافی سینه در تشخیص، غربالگری و فواید آن در شناسایی بیماریهای پستان میپردازیم.
سونوگرافی سینه یک روش ایمن، بدون درد و مؤثر است که با امواج صوتی، تصاویر دقیقی از بافت داخلی پستان به دست میدهد. این روش بهویژه در خانمهایی که بافت سینههای متراکم دارند، نقش مهمی در تشخیص زودهنگام تودهها و ناهنجاریها ایفا میکند. این ویژگی مهم سونوگرافی، آن را به ابزاری ارزشمند در غربالگری و تشخیص سرطان پستان تبدیل کرده است.
سونوگرافی سینه دارای مزایای بسیاری است که آن را به یکی از اصلیترین گزینهها برای غربالگری تبدیل کرده است:
ایمنی بالا و عدم استفاده از اشعه: برخلاف ماموگرافی، سونوگرافی از اشعه ایکس استفاده نمیکند و برای خانمهای جوانتر و خانمهای باردار مناسب است.
تشخیص تودههای کوچک: سونوگرافی سینه امکان شناسایی دقیق تودههای کوچک را فراهم میکند و به پزشکان کمک میکند تا در مراحل اولیه به تشخیص درست دست یابند.
غربالگری پستانهای متراکم: سینههای متراکم ممکن است در ماموگرافی وضوح کمتری داشته باشند، اما سونوگرافی میتواند به وضوح بافت متراکم را بررسی و ناهنجاریها را شناسایی کند.
تشخیص بیماریهای خوشخیم و بدخیم: سونوگرافی به پزشکان این امکان را میدهد تا بافتهای مشکوک را از هم تمییز دهند و تفاوت بین کیستها و تودههای جامد را مشخص کنند.
غربالگری سینه با سونوگرافی نیاز به آمادگی خاصی ندارد و به راحتی در مراکز رادیولوژی و سونوگرافی قابل انجام است. در این روش، یک ژل مخصوص روی سینه قرار داده میشود و سپس با استفاده از دستگاه سونوگرافی، تصاویر دقیقی از بافت پستان تهیه میشود. این تصاویر به پزشک کمک میکند تا تغییرات موجود در بافت پستان را به دقت ارزیابی کند.
انجام سونوگرافی سینه در موارد زیر توصیه میشود:
خانمهایی با سابقه خانوادگی سرطان پستان: افرادی که در خانواده خود سابقه سرطان پستان دارند، بهتر است بهطور منظم سونوگرافی انجام دهند.
خانمهای جوان با بافت سینه متراکم: در این گروه، احتمال ناهنجاری در ماموگرافی بیشتر است و سونوگرافی میتواند مکملی مؤثر باشد.
افرادی با علائم مشکوک: کسانی که علائمی مانند درد، تغییرات در اندازه یا شکل سینه، یا ترشحات غیرطبیعی دارند، بهتر است با سونوگرافی سینه وضعیت خود را ارزیابی کنند.
پیگیری و انجام دورهای سونوگرافی سینه برای اطمینان از عدم تغییرات جدید در بافت سینه ضروری است. این روش به افراد کمک میکند تا هرگونه تغییر در وضعیت سینه را بهموقع شناسایی کرده و در صورت نیاز اقدامات لازم را انجام دهند. غربالگری و پیگیری مداوم به افزایش نرخ بقای بیماران کمک کرده و خطرات ناشی از پیشرفت سرطان را کاهش میدهد.
اگر در شهرهای کرمانشاه، صحنه، کنگاور یا بیستون زندگی میکنید و نیاز به سونوگرافی سینه دارید، مرکز سونوگرافی و رادیولوژی آوا به مدیریت دکتر زهرا کرمی و دکتر آرمان امامقلی آماده ارائه بهترین خدمات سونوگرافی و غربالگری پستان است. با بهرهگیری از تجهیزات مدرن و تیم تخصصی، این مرکز گزینهای مناسب برای تشخیص زودهنگام و پیگیری بیماریهای پستان میباشد.
برای اطلاعات بیشتر و رزرو وقت، با مرکز سونوگرافی و رادیولوژی آوا تماس بگیرید و از خدمات حرفهای این مجموعه بهرهمند شوید.
مشاهده
آمادهسازی بیمار برای سونوگرافی: راهنمای کامل و جامع آمادهسازی صحیح بیما ...
آمادهسازی بیمار برای سونوگرافی: راهنمای کامل
آمادهسازی دقیق برای انجام سونوگرافی تأثیر زیادی بر کیفیت تصاویر و دقت نتایج دارد. هر نوع سونوگرافی نیازمند دستورالعمل خاصی است که رعایت آنها به بهبود کیفیت تصاویر کمک میکند. در این مقاله به آمادهسازی بیمار برای انواع سونوگرافی مانند شکم، لگن، پستان، تیروئید و داپلر پرداختهایم.
برای انجام سونوگرافی شکم، ناشتا بودن حداقل به مدت ۶ ساعت قبل از آزمایش ضروری است. گازهای روده ممکن است کیفیت تصاویر را مختل کنند، بنابراین توصیه میشود از مصرف غذاهای چرب و نفاخ مثل حبوبات و نوشیدنیهای گازدار خودداری کنید.
سونوگرافی لگن برای بررسی اندامهای داخلی مانند رحم، تخمدانها و مثانه انجام میشود. در این نوع سونوگرافی، پر بودن مثانه ضروری است و مانند سونوگرافی شکم، توصیه میشود ناشتا باشید و از مصرف غذاهای چرب و نفاخ خودداری کنید.
سونوگرافی پستان به بررسی دقیق بافتهای سینه کمک میکند و نیازی به آمادگی خاصی ندارد، اما رعایت نکات زیر توصیه میشود:
این نوع سونوگرافی نیاز به آمادهسازی خاصی ندارد، اما برای راحتی بیشتر، زینتآلات گردن خود را قبل از انجام آزمایش بردارید.
سونوگرافی داپلر که برای بررسی جریان خون و عملکرد عروق خونی انجام میشود، نیازمند آمادهسازی خاصی است.
اگر در شهرهای کرمانشاه، صحنه، کنگاور یا بیستون هستید و به خدمات سونوگرافی نیاز دارید، مرکز سونوگرافی و رادیولوژی آوا به مدیریت دکتر زهرا کرمی و دکتر آرمان امامقلی آماده ارائه خدمات با بهرهگیری از تجهیزات مدرن و تیم متخصص است. برای اطلاعات بیشتر و رزرو وقت میتوانید با مرکز تماس بگیرید و از خدمات حرفهای بهرهمند شوید.
مشاهده
سونوگرافی غربالگری سهماهه اول بارداری، که با عنوان سونوگرافی NT (اندازهگیر ...
سونوگرافی غربالگری سهماهه اول بارداری (NT): اهمیت، زمان مناسب و نکات کاربردی
سونوگرافی غربالگری NT در بارداری یکی از مهمترین آزمایشها در دوران بارداری است که به ارزیابی احتمال برخی ناهنجاریهای کروموزومی، از جمله سندرم داون، کمک میکند. در این مقاله، اهمیت سونوگرافی NT، زمان ایدهآل برای انجام آن و نکات کلیدی برای افزایش دقت نتایج این آزمایش را بررسی میکنیم.
سونوگرافی NT که به عنوان سونوگرافی شفافیت پشت گردن نیز شناخته میشود، به پزشک این امکان را میدهد تا ضخامت مایع تجمعیافته در پشت گردن جنین را اندازهگیری کند. این آزمایش در هفتههای ۱۱ تا ۱۴ بارداری انجام میشود و ضخامت غیرطبیعی میتواند نشانهای از برخی مشکلات کروموزومی باشد.
زمان مناسب برای انجام سونوگرافی NT در هفته ۱۲ بارداری است، زیرا در این زمان وضوح تصویر بهتر بوده و اندازهگیری ضخامت NT دقیقتر انجام میشود. تجربه نشان داده که انجام این آزمایش در حوالی هفته ۱۲ نتایج مطلوبتری ارائه میدهد.
این آزمایش برای تشخیص زودهنگام برخی مشکلات کروموزومی و ناهنجاریهای جنینی بسیار حائز اهمیت است. اهداف اصلی سونوگرافی NT عبارتند از:
به دلیل موقعیت جنین، ممکن است زمان بیشتری برای انجام آزمایش نیاز باشد. وضعیت قرارگیری جنین میتواند دقت سونوگرافی NT را تحت تأثیر قرار دهد و اگر جنین در موقعیت مطلوب نباشد، انجام آزمایش ممکن است به زمان بیشتری نیاز داشته باشد تا تصاویر دقیقتری به دست آید.
اگر به دنبال مرکز تخصصی برای انجام سونوگرافی NT در کرمانشاه، صحنه، کنگاور یا بیستون هستید، مرکز سونوگرافی و رادیولوژی آوا به مدیریت دکتر زهرا کرمی و دکتر آرمان امامقلی یکی از بهترین گزینههاست. این مرکز با بهرهگیری از تجهیزات پیشرفته و تیم متخصص، خدمات سونوگرافی NT و سایر آزمایشهای غربالگری بارداری را به دقت و کیفیت بالا ارائه میدهد.
برای اطلاعات بیشتر و رزرو وقت، میتوانید با مرکز آوا تماس بگیرید و از خدمات تخصصی و حرفهای این مجموعه بهرهمند شوید.
سونوگرافی NT بخش مهمی از غربالگری سهماهه اول بارداری است که برای ارزیابی وضعیت سلامت جنین و کاهش نگرانیهای والدین انجام میشود. با رعایت نکات مهم و انتخاب زمان مناسب برای انجام این سونوگرافی، دقت نتایج افزایش یافته و پزشک اطلاعات ارزشمندی برای پیگیری روند بارداری به دست میآورد.
مشاهده
سونوگرافی سهبعدی و چهاربعدی به والدین این امکان را میدهد که برای اولین بار ...
سونوگرافی سهبعدی و چهاربعدی: تجربهای بینظیر و خاطرهای بهیادماندنی برای والدین
سونوگرافی سهبعدی و چهاربعدی به والدین این امکان را میدهد که برای اولین بار چهره و حرکات جنین خود را مشاهده کنند و یک خاطره بهیادماندنی از این دوره زیبا و خاص بارداری به یادگار بگذارند. این تکنولوژی پیشرفته، نهتنها برای پزشکان ابزاری مهم در تشخیص و پیگیری وضعیت جنین است، بلکه برای والدین تجربهای فوقالعاده عاطفی و منحصر به فرد فراهم میکند که تصویری زنده و دقیق از چهره و حرکات فرزندشان در رحم را ثبت میکند.
سونوگرافی چهاربعدی، که تصاویر زنده و در حال حرکت از جنین فراهم میکند، لحظاتی از جمله خمیازههای کوچک، حرکات دست و پا، و حتی لبخندهای ظریف را بهصورت زنده و قابل لمس به نمایش میگذارد. این تجربه، اولین خاطره تصویری و مشترک والدین با فرزندشان را رقم میزند و ارتباطی عمیقتر بین والدین و جنین برقرار میکند.
بهترین زمان برای ثبت خاطرهای کامل و با جزئیات حدود هفته ۲۶ تا ۳۰ بارداری است. در این زمان، جنین به اندازه کافی رشد کرده تا چهره و جزئیات آن به وضوح قابل مشاهده باشد و همچنین فضای کافی در رحم وجود دارد که حرکات جنین به صورت کاملتر و دقیقتری ثبت شود. این زمانبندی به والدین امکان میدهد که با تصاویر دقیق و واضحتری اولین خاطره دیداری خود با فرزندشان را ثبت کنند.
مرکز سونوگرافی و رادیولوژی آوا در کرمانشاه، صحنه، کنگاور و بیستون به مدیریت دکتر زهرا کرمی و دکتر آرمان امامقلی، با ارائه خدمات سونوگرافی سهبعدی و چهاربعدی، به والدین کمک میکند تا اولین خاطرات دیداری با فرزندشان را با بهترین کیفیت ثبت کنند. این مرکز با تجهیزات مدرن و کادر مجرب، تجربهای بینظیر و خاطرهای بهیادماندنی را برای والدین فراهم میآورد.
سونوگرافی سهبعدی و چهاربعدی، سفری شگفتانگیز به دنیای کوچک جنین است که اولین لبخندها و حرکات او را به تصویر میکشد. این تجربه فراتر از یک آزمایش پزشکی است و اولین خاطرات زیبای شما با فرزندتان را ثبت میکند؛ خاطرهای که برای همیشه در قلب شما باقی میماند و لحظات خاص بارداری را به یادگاری شیرین تبدیل میکند.
مشاهده
حاملگی خارج از رحم یکی از شرایط حساس در دوران بارداری است که در آن، تخمک بار ...
سونوگرافی حاملگی خارج از رحم: تشخیص و اهمیت بررسی به موقع
حاملگی خارج از رحم یکی از شرایط حساس در دوران بارداری است که در آن، تخمک بارور شده بهجای رحم در جای دیگری مانند لولههای فالوپ یا تخمدان لانهگزینی میکند. این وضعیت نیاز به تشخیص فوری دارد، چرا که تأخیر در درمان میتواند عوارض جدی به همراه داشته باشد. یکی از روشهای اصلی برای تشخیص و بررسی این بارداری، سونوگرافی و آزمایش بتا (β-hCG) است که در ادامه به اهمیت آن میپردازیم.
آزمایش بتا hCG، میزان هورمون بارداری را در خون اندازهگیری میکند و به پزشکان در تشخیص محل بارداری کمک میکند. در حاملگی طبیعی، سطح این هورمون بهطور منظم افزایش مییابد، اما در حاملگی خارج از رحم، تیتراژ β-hCG معمولاً روند طبیعی ندارد یا با کندی افزایش مییابد. به همین دلیل، داشتن نتیجه آزمایش بتا و پیگیری تیتراژ آن در کنار سونوگرافی ضروری است.
سونوگرافی شکمی و بهویژه سونوگرافی واژینال، برای مشاهده و بررسی دقیقتر وضعیت بارداری خارج از رحم بسیار مؤثر هستند. در صورت بالا بودن سطح بتا hCG و عدم مشاهده بارداری داخل رحم در سونوگرافی، احتمال بارداری خارج از رحم مطرح میشود و نیاز به بررسی بیشتر دارد.
گاهی اوقات، ممکن است لازم باشد چندین بار سونوگرافی پیگیری انجام شود و سطح تیتراژ بتا hCG نیز بهطور مکرر بررسی گردد تا به تشخیص نهایی برسیم. این پیگیریها میتوانند به پزشک کمک کنند تا تغییرات وضعیت بارداری را به دقت زیر نظر بگیرد و از انجام تصمیمات صحیح در زمان مناسب اطمینان حاصل کند.
بهترین زمان برای انجام سونوگرافی در صورت شک به بارداری خارج از رحم حدود هفته ۶ تا ۷ بارداری است. در این مرحله، اگر سطح hCG به اندازهای برسد که در سونوگرافی انتظار مشاهده بارداری داخل رحم را داشته باشیم، اما جنینی مشاهده نشود، پزشک ممکن است بارداری خارج از رحم را تشخیص دهد. این وضعیت ممکن است به دلیل قرارگیری جنین در محلهای غیرمعمول نیاز به زمان بیشتری برای سونوگرافی دقیق داشته باشد.
پس از تشخیص این بارداری، پزشک ممکن است درمان دارویی با متوترکسات را پیشنهاد کند یا در موارد پیشرفتهتر، جراحی لاپاروسکوپی را برای برداشتن بافت بارداری لازم بداند.
اگر در کرمانشاه، صحنه، کنگاور یا بیستون به دنبال خدمات تخصصی سونوگرافی برای بررسی حاملگی خارج از رحم هستید، مرکز سونوگرافی و رادیولوژی آوا به مدیریت دکتر زهرا کرمی و دکتر آرمان امامقلی با تجهیزات مدرن آماده ارائه خدمات به شما است.
سونوگرافی و آزمایش بتا hCG دو عامل کلیدی در تشخیص حاملگی خارج از رحم و پیشگیری از عوارض هستند. با مراجعه به مرکز تخصصی و انجام بهموقع این آزمایشها، از ایمنی بارداری و حفظ سلامت خود اطمینان حاصل کنید.
مشاهده
آدنومیوز رحمی یکی از شرایط شایع و پیچیده در رحم است که در آن بافت داخلی رحم ...
آدنومیوز رحمی: تشخیص، علائم و روشهای درمانی
آدنومیوز رحمی یکی از شرایط شایع و پیچیده در رحم است که در آن بافت داخلی رحم (آندومتر) بهطور غیرطبیعی به لایه عضلانی رحم (میومتر) نفوذ میکند. این وضعیت معمولاً باعث درد و خونریزی غیرعادی در دوران قاعدگی میشود و میتواند کیفیت زندگی فرد را تحت تأثیر قرار دهد. در این مقاله به بررسی علائم، روشهای تشخیص و راهکارهای درمان آدنومیوز رحمی پرداختهایم.
آدنومیوز حالتی است که در آن سلولهای آندومتر به دیواره عضلانی رحم نفوذ کرده و منجر به التهاب، تورم و ضخیم شدن رحم میشوند. این بیماری بیشتر در زنان بالای ۳۰ سال و در دوران پس از زایمان دیده میشود و گاهی با فیبروئیدها یا اندومتریوز اشتباه گرفته میشود. با این حال، هرکدام از این مشکلات، ویژگیهای خاص خود را دارند و نیازمند تشخیص صحیح و درمان دقیق هستند.
علائم آدنومیوز ممکن است از فردی به فرد دیگر متفاوت باشد و برخی از افراد ممکن است بدون علائم خاصی باشند. با این حال، شایعترین علائم عبارتند از:
تشخیص دقیق آدنومیوز برای شروع درمان مناسب بسیار حیاتی است. چند روش برای تشخیص این مشکل وجود دارد:
سونوگرافی یکی از روشهای غیرتهاجمی و دقیق برای تشخیص آدنومیوز است. این روش به پزشک اجازه میدهد تا بهطور مستقیم تغییرات رحم را مشاهده و ارزیابی کند. برای اطمینان از تشخیص، بهتر است مدارک پزشکی و سوابق سونوگرافی قبلی را نیز همراه داشته باشید.
درمان آدنومیوز به شدت علائم، سن بیمار و تمایل به بارداری بستگی دارد. برخی از روشهای درمانی شامل موارد زیر هستند:
آدنومیوز رحمی بیماری است که میتواند باعث مشکلات جدی و طولانیمدت در کیفیت زندگی فرد شود. به همین دلیل، تشخیص و پیگیری بهموقع بسیار مهم است. در صورتی که علائمی مانند درد شدید و خونریزی غیرطبیعی دارید، حتماً به پزشک مراجعه کنید.
اگر در شهرهای کرمانشاه، صحنه، کنگاور یا بیستون زندگی میکنید و نیاز به بررسی دقیق آدنومیوز و سایر مشکلات رحمی دارید، مرکز سونوگرافی و رادیولوژی آوا به مدیریت دکتر زهرا کرمی و دکتر آرمان امامقلی با ارائه خدمات سونوگرافی و MRI پیشرفته در خدمت شماست.
آدنومیوز رحمی یک بیماری شایع در بین زنان است که میتواند باعث درد و خونریزی شدید شود. با تشخیص دقیق و درمان مناسب، میتوان علائم این بیماری را به حداقل رساند و کیفیت زندگی بیمار را بهبود بخشید.
مشاهده
میومهای رحمی، که با نام فیبروئید نیز شناخته میشوند، تودههای غیرسرطانی و ش ...
میومهای رحمی: علائم، روشهای تشخیص و گزینههای درمانی
میومهای رحمی، که با نام فیبروئید نیز شناخته میشوند، تودههای غیرسرطانی و شایعی هستند که در دیواره رحم ایجاد میشوند. این تودهها ممکن است کوچک و بدون علائم باشند یا به اندازههای بزرگتر رشد کرده و باعث مشکلات و علائم قابل توجه شوند. شناخت علائم و روشهای تشخیص و درمان این بیماری میتواند به بهبود کیفیت زندگی و کاهش نگرانیهای بیماران کمک کند. در این مقاله به بررسی علائم، علل، تشخیص و روشهای درمان میومهای رحمی پرداختهایم.
میومهای رحمی نوعی تودههای خوشخیم هستند که از عضلات و بافتهای فیبری در رحم تشکیل میشوند. این تودهها ممکن است در انواع مختلفی از جمله زیرمخاطی، زیرسروزال و اینترامورال در نقاط مختلف دیواره رحم رشد کنند. میومهای رحمی معمولاً در زنان بین ۳۰ تا ۵۰ سال شایعتر هستند و با عواملی مانند هورمونهای زنانه و ژنتیک مرتبط میباشند.
میومها بسته به محل قرارگیریشان در رحم به چند دسته تقسیم میشوند:
میومهای رحمی ممکن است در برخی از افراد هیچ علائمی نداشته باشند، اما در صورت بزرگ شدن و فشار به اندامهای اطراف، علائم قابل توجهی را ایجاد کنند. برخی از علائم شایع عبارتند از:
تشخیص دقیق و سریع میوم رحمی میتواند به جلوگیری از عوارض و شروع بهموقع درمان کمک کند. روشهای تشخیصی متداول برای میومهای رحمی عبارتند از:
سونوگرافی رحم: یکی از رایجترین روشهای تصویربرداری برای تشخیص میومهای رحمی است. این روش به پزشک کمک میکند تا اندازه، محل و تعداد میومها را ارزیابی کند.
امآرآی (MRI): MRI بهویژه در موارد پیچیدهتر که نیاز به اطلاعات دقیقتری از ساختار رحم و میومها دارند، استفاده میشود.
هیستروسکوپی: در مواردی که میومها در نزدیکی دیواره داخلی رحم باشند، این روش به پزشک امکان میدهد تا بهصورت مستقیم داخل رحم را بررسی کند.
آزمایش خون: در موارد خونریزی شدید و مزمن، آزمایش خون برای بررسی سطح هموگلوبین و تشخیص کمخونی ضروری است.
انتخاب روش درمانی مناسب برای میوم رحمی به عواملی مانند اندازه، محل، علائم و تمایل به بارداری بستگی دارد. برخی از روشهای درمانی عبارتند از:
درمان دارویی: داروهای هورمونی و ضدالتهاب میتوانند به کاهش اندازه میوم و کنترل خونریزی کمک کنند.
آمبولیزاسیون شریان رحمی: در این روش، جریان خون به میومها قطع میشود تا باعث کوچک شدن و از بین رفتن آنها شود.
عمل جراحی میومکتومی: در مواردی که بیمار قصد بارداری داشته باشد و میومها بزرگ و پرعلائم باشند، جراحی میومکتومی برای برداشتن تودههای میوم استفاده میشود.
هیسترکتومی: در موارد شدید و زمانی که بیمار تمایلی به بارداری نداشته باشد، عمل هیسترکتومی یا برداشتن رحم توصیه میشود.
سونوگرافی یکی از روشهای اولیه و بسیار مهم در تشخیص میومهای رحمی است. پیگیری منظم با سونوگرافی برای ارزیابی رشد میوم و بررسی تغییرات احتمالی بسیار حیاتی است. گاهی برای رسیدن به تشخیص دقیقتر و تعیین میزان رشد میومها، ممکن است پزشک توصیه کند چندین مرتبه سونوگرافیهای پیگیری انجام شود.
اگر در شهرهای کرمانشاه، صحنه، کنگاور یا بیستون زندگی میکنید و نیاز به بررسی و تشخیص میومهای رحمی دارید، مرکز سونوگرافی و رادیولوژی آوا با مدیریت دکتر زهرا کرمی و دکتر آرمان امامقلی و با استفاده از تجهیزات پیشرفته آماده ارائه خدمات است.
میومهای رحمی تودههای خوشخیمی هستند که میتوانند مشکلاتی مانند خونریزی و درد لگنی ایجاد کنند. تشخیص بهموقع و درمان مناسب میتواند به کنترل علائم و بهبود کیفیت زندگی کمک کند.
مشاهده
افزایش ضخامت اندومتر در دوران یائسگی ممکن است نشاندهنده تغییرات غیرعادی در ...
افزایش ضخامت اندومتر در یائسگی: علل، علائم و بررسیهای لازم
افزایش ضخامت اندومتر در دوران یائسگی ممکن است نشاندهنده تغییرات غیرعادی در رحم باشد. در دوران یائسگی، تغییرات هورمونی باعث نازک شدن طبیعی دیواره داخلی رحم (اندومتر) میشود. اما در برخی از زنان، اندومتر در این دوران به طور غیرطبیعی ضخیم میشود و ممکن است نیاز به بررسیهای دقیقتری داشته باشد. این مقاله به بررسی علل، علائم، روشهای تشخیصی و اهمیت ارزیابی افزایش ضخامت اندومتر در دوران یائسگی میپردازد.
اندومتر دیواره داخلی رحم است که در طی چرخه قاعدگی بهطور طبیعی ضخامتش تغییر میکند. اما در دوران یائسگی، کاهش سطح هورمون استروژن باعث کاهش ضخامت اندومتر میشود. اگر در این دوران، ضخامت اندومتر بهطور غیرعادی افزایش یابد، ممکن است به دلیل مشکلاتی از جمله هایپرپلازی اندومتر، پولیپهای رحمی یا حتی سرطان اندومتر باشد.
افزایش ضخامت اندومتر در یائسگی ممکن است به دلایل مختلفی رخ دهد، از جمله:
اگرچه افزایش ضخامت اندومتر در یائسگی ممکن است بدون علامت باشد، برخی از علائم شایع آن شامل موارد زیر است:
تشخیص دقیق افزایش ضخامت اندومتر بسیار مهم است تا پزشک بتواند بهترین روش درمانی را انتخاب کند. روشهای تشخیصی اصلی شامل موارد زیر است:
سونوگرافی ترانسواژینال: یکی از روشهای اصلی و غیرتهاجمی برای اندازهگیری ضخامت اندومتر است. سونوگرافی ترانسواژینال میتواند به تشخیص زودهنگام مشکلاتی مانند هایپرپلازی و پولیپها کمک کند. با استفاده از این روش، پزشک قادر به بررسی تغییرات احتمالی و تعیین نیاز به پیگیریهای بیشتر است.
بیوپسی اندومتر: در صورتی که سونوگرافی نشاندهنده ضخامت غیرطبیعی باشد، ممکن است پزشک بیوپسی اندومتر را تجویز کند. این روش نمونهبرداری از بافت اندومتر و بررسی آن از نظر تغییرات سرطانی یا پیشسرطانی است.
هیستروسکوپی: این روش به پزشک اجازه میدهد تا با استفاده از یک لوله باریک و مجهز به دوربین، دیواره داخلی رحم را بررسی کند. در موارد مشکوک به پولیپ یا تودههای رحمی، هیستروسکوپی میتواند به دقت تشخیص کمک کند.
آزمایش خون: در برخی موارد، آزمایش خون برای بررسی سطح هورمونها و سایر عوامل مؤثر در افزایش ضخامت اندومتر انجام میشود.
پیگیری افزایش ضخامت اندومتر در یائسگی میتواند از بروز مشکلات جدیتر پیشگیری کند. در مواردی که ضخامت اندومتر افزایش یافته و علائمی نظیر خونریزی و درد لگنی دیده میشود، ممکن است نیاز به چندین بار تکرار سونوگرافی یا بررسیهای تشخیصی دیگر باشد. تشخیص به موقع، امکان انتخاب بهترین روش درمانی و پیشگیری از پیشرفت بیماریهای جدی مانند سرطان اندومتر را فراهم میکند.
انتخاب روش درمانی به علت افزایش ضخامت اندومتر بستگی دارد. برخی از گزینههای درمانی عبارتند از:
درمان دارویی: در موارد هایپرپلازی اندومتر، پزشک ممکن است داروهای پروژستروندار تجویز کند که به کاهش ضخامت اندومتر کمک میکند.
جراحی هیستروسکوپی: در صورت وجود پولیپ یا تودههای کوچک، جراحی هیستروسکوپی ممکن است گزینه مناسبی باشد. این روش کمتهاجم به برداشتن پولیپها یا قسمتهای غیرطبیعی اندومتر کمک میکند.
هیسترکتومی: در موارد شدید و زمانی که احتمال سرطان وجود داشته باشد، هیسترکتومی یا برداشتن رحم ممکن است ضروری باشد. این روش معمولاً به عنوان آخرین گزینه در نظر گرفته میشود.
برای زنان در دوران یائسگی، پیگیری و مراجعه منظم به پزشک و انجام آزمایشهای غربالگری بسیار مهم است. در صورت مشاهده علائمی مانند خونریزی بعد از یائسگی یا دردهای لگنی، مراجعه به پزشک برای انجام بررسیهای لازم توصیه میشود.
مرکز سونوگرافی و رادیولوژی آوا در کرمانشاه با مدیریت دکتر زهرا کرمی و دکتر آرمان امامقلی و با بهرهگیری از تجهیزات مدرن، آماده ارائه خدمات تشخیصی از جمله سونوگرافی ترانسواژینال برای بررسی افزایش ضخامت اندومتر است. با تجربه تیم حرفهای مرکز آوا، شما میتوانید از خدماتی مطمئن و دقیق بهرهمند شوید.
افزایش ضخامت اندومتر در یائسگی یک نشانه هشداردهنده است که نیاز به بررسی دقیق و پیگیری دارد. تشخیص بهموقع و درمان مناسب میتواند از بروز عوارض جدی و بیماریهای رحمی پیشگیری کند.
مشاهده
کبد چرب وضعیتی است که با تجمع چربی در سلولهای کبدی همراه است و اگر به موقع ...
کبد چرب: علل، علائم و روشهای تشخیص، گریدبندی و درمان
کبد چرب وضعیتی است که با تجمع چربی در سلولهای کبدی همراه است و اگر به موقع تشخیص داده نشود، میتواند به عوارض جدیتری منجر شود. این مقاله به بررسی علل، علائم، روشهای تشخیص، گریدبندی بر اساس سونوگرافی و درمان کبد چرب میپردازد.
کبد چرب به وضعیتی گفته میشود که در آن چربی به میزان غیرطبیعی در سلولهای کبدی ذخیره میشود. این بیماری شامل دو نوع اصلی است:
برخی از عوامل موثر بر بروز کبد چرب عبارتند از:
کبد چرب معمولاً علائم خاصی در مراحل اولیه ندارد، اما با پیشرفت بیماری، علائمی مانند خستگی، ضعف عمومی، درد در ناحیه راست بالای شکم و کاهش وزن ممکن است بروز کنند.
یکی از مهمترین روشها برای تشخیص کبد چرب، سونوگرافی است که علاوه بر تشخیص، به گریدبندی یا درجهبندی کبد چرب نیز کمک میکند. این درجهبندی که بر اساس میزان چربی تجمعیافته و ظاهر کبد در سونوگرافی انجام میشود، در درمان و مدیریت بیماری نقش مهمی دارد.
تشخیص کبد چرب با استفاده از روشهای مختلفی صورت میگیرد:
برای درمان و مدیریت کبد چرب تغییر سبک زندگی و رژیم غذایی سالم بسیار مؤثر است. برخی از روشهای درمانی عبارتند از:
کبد چرب میتواند به مرور زمان پیشرفت کند، به همین دلیل انجام سونوگرافیهای دورهای و بررسیهای منظم با آنزیمهای کبدی ضروری است. این بررسیها امکان پیگیری وضعیت کبد و جلوگیری از پیشرفت بیماری را فراهم میکنند.
مرکز سونوگرافی و رادیولوژی آوا، با مدیریت دکتر زهرا کرمی و دکتر آرمان امامقلی، ارائهدهنده خدمات پیشرفته برای تشخیص و گریدبندی کبد چرب است. این مرکز با استفاده از تجهیزات مدرن و تیم مجرب، تشخیص و پیگیری وضعیت کبدی بیماران را با دقت بالایی انجام میدهد.
کبد چرب یک بیماری شایع است که در صورت تشخیص و مدیریت به موقع، میتوان از پیشرفت آن جلوگیری کرد. گریدبندی کبد چرب بر اساس سونوگرافی به پزشک کمک میکند تا بهترین روش درمانی را برای بیمار انتخاب کند. تغییر سبک زندگی، پیگیریهای منظم و سونوگرافیهای دورهای از جمله راههای موثر در مدیریت و کنترل این بیماری هستند.
مشاهدهتلفن تماس: 08348333732
آدرس: صحنه، خیابان طالقانی، بن بست پزشکان، مرکزرادیولوژِی و سونوگرافی آوا
ایمیل: info@ava-imaging.ir
سیستم پرتو، سامانه ی دانش بنیان تخصصی اشتراک تصاویر در ایران - www.partoapp.ir
حق کپی رایت © محفوظ 2019-2024
در این تکنیک رادیوگرافی بایت وینگ بدون قرار دادن گیرنده یا وسیله دیگری در داخل دهان، تهیه میشود. کودکان اغلب از جایگزاری گیرنده های رادیوگرافی در داخل دهان امتناع میورزند و تصویرداریهای داخل دهانی برای کودکان اغلب امری ناخوشایند است. بدین منظور، تهیه رادیوگرافی بایت وینگ که از کلیشه های مهم تصویربرداری کودکان میباشد، در این مرکز صورت خارج دهانی قابل انجام است. این تکنیک همچنین میتواند جایگزین مناسبی برای بایت وینگ داخل دهانی در افراد بزرگسالی باشد که به دلیل تهوع شدید، امکان تحمل گیرنده را در داخل دهان خود ندارند. لازم به ذکر است بالاترین رزولوشن و وضوح تصویر در رادیوگرافی های داخل دهانی مشاهده می شود.